21340次

摔倒后有些人自我判断“不太疼”,因此觉得问题不大。但过几天发现受伤部位越来越疼,又红又肿,那你应该警惕:自己是否出现了桡骨远端骨折。
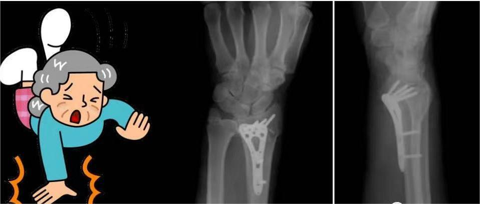
桡骨远端骨折非常常见,多见于老年妇女,骨折发生在桡骨远端2~3cm范围内,常伴桡腕关节及下尺桡关节的损伤。桡骨远端是腕关节的主要构成部分,因此,恢复腕关节功能尤为重要。由于老年人骨质疏松,骨强度下降,因此在跌倒的时候,手腕部着地,极易引发桡骨远端骨折。
虽然桡骨远端骨折一般为轻伤,但如果没有得到及时治疗,也会造成神经血管损伤、关节功能障碍、关节畸形等问题。今天,合卫小编请来了合肥市骨科医院创伤中心二科副主任医师张林胜,给大家讲讲关于桡骨远端骨折的健康知识。
跌倒后要保持原来的姿势,尝试轻轻拨动下腕关节受撞击的部位,如无大碍可缓慢起身。
可以就地取材使用硬纸板,平整的木板和木条,长度大约在掌指关节到前臂的中间,用布条或者绳子捆扎起来,达到临时固定的效果。但不宜太紧,容易造成血运的障碍。
3、冰敷
将冰袋敷在受伤部位。最好用塑料袋装好冰水混合物进行冰敷,切不可直接用冰块敷在患处。一次冰敷时间约15~20分钟,通常冰到患处有麻木感就可以停止,休息约1~2小时再冰敷。手指可以轻度活动,促进血液循环。
很多人受伤后会立即搽活血化瘀的药物,事实上这种做法反而会加重伤痛和肿胀,一般受伤后72小时才可使用上述药物。
4、抬高
为了促进静脉回流,达到减少出血和肿胀的目的,会将患肢抬高,例如将手臂悬挂在胸前,又或者于平位状态下,夹枕放于胸前。这期间也可以多活动手指,促进血液循环。
老年人,由于身体机能的原因,容易跌倒。但是,老年人跌倒是可以预防和控制的。
1、科学运动
适当进行平衡和功能性训练。如健走、太极拳、八段锦等,增强肌肉力量和平衡协调能力。
2、避免行走在光滑路面
走路尽量绕开大理石、瓷砖、冰面等光滑路面。行走速度不宜过快,身体略倾斜,双手不要插兜,脚底踩实踩稳,小步前行,老人宜拄拐而行。
老年人要在膳食中注意给自己多补充营养,特别是钙质,及维生素D3,从而有效预防骨质疏松,骨量增加,骨强度增强,可以有效地防止意外磕碰带来的脆性骨折。
适合老年人穿的运动鞋、旅游鞋,有利于防止跌倒。应当尽量避免穿高跟鞋、拖鞋、布鞋等不利于保持平衡和防滑、有跌倒隐患的鞋。
如果滑倒不能避免,那么在着地的一瞬间尽量顺势滑或者翻滚。尽可能屈膝,收紧下巴、手臂贴近胸部,倒向大腿外侧,上半身侧着倒地,顺势向躯干和上背部滚动。
合肥市骨科医院创伤外科中心二病区副主任医师,1997年毕业于安徽医科大学。一直从事骨科临床诊疗,致力于骨科常见病、多发病和一些疑难杂症的临床诊治,擅长应用微创观念治疗各类复杂关节周围骨折,精通长管状骨髓内钉治疗,对骨不连、髋臼骨折、肩胛骨骨折、老年髋部骨折等复杂创伤均有丰富的临床手术经验。
声明:合意刊载此文是出于传递更多信息之目的。图片版权归原作者所有,仅作分享之用,如果分享内容侵犯您的版权或者所标来源非第一原创,请联系我们审核处理。